(Ovaj tekst je originalno objavljen u okviru publikacije Nauka u Srbiji. Vizualizacija koronavirusa Fusion Medical Animaton sa sajta Unsplash.)
U prethodnim tekstovima smo mnogo govorili o vakcinama, sojevima virusa, i drugim praktičnim aspektima trenutne epidemije sa medicinske i epidemiološke tačke gledišta. Ovaj tekst će biti više tehnički: kako virus u stvari izgleda, kako funkcioniše i kako stvara bolest. I pored ovakve dužine teksta, u pitanju je samo uprošćena slika kojom pokušavamo da nađemo odgovarajući balans: više naučnih informacija i detalja nego u uobičajenim popularnim tekstovima, ali manje nego u stručnim tekstovima na tu temu.
1. Struktura koronavirusa ― “virus sa krunom” ili “virus sa buzdovanom”?
Na donjoj slici možete da vidite izolovane SARS-CoV-2 viruse snimljene elektronskim mikroskopom. Pojedinačni virusi izgledaju kao nepravilne loptice okružene “krunom” šiljaka― osobina zbog koje je njihova familija i dobila ime “koronavirusi” (krunisani virusi). Ako pažljivo pogledate, videćete da ti šiljci liče na pečurkice: imaju “stalak” na kome se nalazi mnogo šira “glava.”
Detalje možemo jasnije prepoznati kroz elektronske tomograme, u kojima se na osnovu gustine “senke” može izračunati trodimenzionalna struktura. Lep primer je slika ispod [1], na kojoj se vidi presek jedne izolovane čestice novog koronavirusa.
Na slici a se nalazi direktan tomogram (snimak) virusa, dok je slika b rekonstrukcija na osnovu snimka: ljubičasto je virusna membrana, žuto su šiljci, a plavo su vRNP čestice koje nose virusni genom. Ispod toga, na slikama d i e možete da vidite ukrupnjeni snimak pojedinačnog šiljka, sa strane i odozgo; na slici f je rekonstrukcija šiljka na osnovu fotografije i strukturalnih informacija prikupljenih iz prethodnih studija. Kao što možete da vidite, “šiljak” je u stvari loš naziv ― možda bi bolje bilo reći “buzdovan”.
Iz stotina studija i analiza ovog tipa (na primer [2, 3, 4]) naučnici su otkrili celu strukturu virusa. U svom slobodnom obliku, virusna čestica se sastoji od šest osnovnih delova:
– Fosfolipidne (masne) membrane
Ova membrana je slična membrani ljudskih ćelija; što nije začuđujuće, jer virus “krade” tu svoju membranu iz naših ćelija. Kada vas zarazi virus, on u vaše telo donosi komadiće membrane ćelija osobe koja vas je zarazila. Čisto ako vam treba još razloga zašto infekcija treba da se izbegne.
– E proteina (od “envelope,” što znači “omotač”)
Ovaj protein kontroliše pravilno formiranje membrane virusa, veličinu virusnih čestica i upravlja oslobađanjem potpuno formiranih virusnih čestica unutar ljudskih ćelija. Od svih koronavirusih proteina, E proteini su najstabilniji i najmanje se menjaju od vrste do vrste; praktično su identični kod svih sojeva novog virusa. Međutim, oni nisu dobre mete za antitela, jer su skoro potpuno skriveni unutar membrane, i samim tim nedostupni imunom sistemu.
– M proteina (membranskih)
Ovaj protein kontroliše formiranje membrane, kao i pakovanje virusnih genoma unutar same virusne čestice. Za razliku od prethodno pomenutog E proteina, M je vrlo varijabilan i lako mutira.
– N proteina (nukleokapsida)
Funkcija ovog proteina je da “zapakuje” virusni genom u vRNP čestice koje ga čuvaju od oštećenja i raspada dok ne dođe do nove ćelije koja može biti zaražena.
– S proteina (“spike,” čuveni “šiljak”)
Ovaj protein formira trimere: tri kopije koje se povezuju jedna sa drugom u piramidalni oblik koji vidimo na slikama, te proizvode “šiljke” na površini virusa. Ovaj protein prepoznaje ljudske ćelije koje virus može da inficira, i pokreće proces infekcije. Blokada ove funkcije sprečava širenje infekcije kroz telo, zbog čega je ovaj protein specifična meta najvećeg broja vakcina.
– Virusne iRNK
Dugački lanci RNK, umotani oko N proteina, formiraju čestice koje virus oslobađa u naše ćelije. Ti iRNK molekuli preuzimaju kontrolu i teraju našu ćeliju da postane fabrika novih virusa.
2. Infekcija po fazama
Faza 1
Virus koji stigne u usta ili nos nezaražene osobe i dalje ima niz prepreka koje mora da savlada: neophodno je da dospe do epitelijalnih ćelija (koje prekrivaju površinu sluzokože) ili do pluća, a da se pritom ne zaglavi u sluzi i da ga ne unište pasivni mehanizmi kojima se telo neprestano brani od svih virusa.
Zbog ovoga je važan nivo izlaganja (količina virusnih čestica), i nošenje maske: čak i ako ne uspete da sprečite da do vas dođe virus, ako smanjite broj virusnih čestica koje dospeju do vas, smanjujete mogućnost da će neka od njih uspeti da zaobiđe sve ove sisteme odbrane.
Faza 2
Na površini naših ćelija se nalazi mnogo proteina koji su “ukorenjeni” u membranu ćelije. Ovi proteini uglavnom prenose ili primaju signale iz okoline, prave kontakte sa drugim ćelijama, i generalno omogućavaju koordinaciju sa drugim delovima tkiva, organa i organizma. Jedan od više hiljada takvih proteina se zove “ACE2” i on učestvuje u kontroli lokalnog krvnog pritiska ― tako što reguliše koliko će se krvni sudovi raširiti ili stisnuti u neposrednoj okolini (detaljniji opis nalazi se malo kasnije u tekstu, a za više detalja pogledajte i referencu [5]).
Virusne čestice koje uspeju da prođu kroz sve pasivne prepreke i dođu do neke ljudske ćelije (obično su u pitanju ćelije sluzokože u nosu ili epitelijalne ćelije u plućima) vezuju se upravo za ovaj ACE2 receptor [6, 32, 33, 34]. S protein, tj. šiljak, na sebi ima površinu koja po obliku i naelektrisanju “odgovara” vrhu ACE2 receptora i to je razlog što se snažno zalepi za njega. Nakon vezivanja za receptor, virus ima dva osnovna pravca kojima može da uđe u ćeliju.
Faza 3
U okolini naših ćelija, a i vezano na njihovoj površini, nalaze se proteaze, enzimi kojima je posao da “seku” druge proteine na manje komade. Ovo ima razne funkcije: uklanjanje oštećenih proteina iz opticaja, aktivaciju određenih signala ili prosto odbrane od spoljnih napadača. Ali isto kao što ACE2 može da se iskoristi za prepoznavanje mete, virus takođe zloupotrebljava i naše proteaze.
U najprostijem, direktnom načinu ulaska, jedna od naših proteaza (najčešće proteaza ćelijske površine TMPRSS-2) preseče šiljak na dva mesta. Prvo sečenje dovodi do podele S proteina na dva domena, S1 i S2. Drugi presek deli S2 i odvoji kratki lanac koji se ubaci u membranu ljudske ćelije, što proizvodi spajanje naše i virusne membrane. Time virusna RNK bude oslobođena u ćeliju.
U indirektnom načinu ulaska, proteaze na površini ćelije preseku S protein u S1 i S2, ali virus nakon toga ostaje vezan. Ćelija uoči da je nešto zakačeno za njenu površinu i uvuče u sebe taj deo svoje membrane zajedno sa virusom, s namerom da eliminiše problem. Taj uvučeni deo se pretvara u takozvani endozom koji počinje da se razvija u lizozom — ćelijsku organelu u kojoj se uništavaju proteini i masti, što je proces kojim ćelija planira da takođe uništi i zakačeni virus. Međutim, deo ovog procesa je povećanje kiselosti endozoma, što aktivira proteaze zvane katepsini. Aktivirani katepsini preseku S2, i oslobode isti onaj kratki lanac koji u ovom slučaju dovodi do spajanja virusne membrane sa membranom endozoma. I opet, virusna RNK biva oslobođena u ćeliju.
Bez obzira na to da li virus uspe da se spoji sa membranom kroz direktan ili kroz indirektan mehanizam, virusna iRNK upadne u ćeliju i tamo se izmeša sa drugim ljudskim iRNK molekulima. Naša ćelija prati instrukcije na iRNK molekulima i počinje da prati i te instrukcije koje je dobila iz virusa. Na osnovu tih virusnih iRNK, naši ćelijski sistemi budu zavarani i počinju da proizvode sve gorenavedene strukturalne proteine (E, M, N, S), od kojih se stvaraju stotine ili hiljade novih virusnih čestica.
Pored ova četiri strukturalna proteina, virus u ćeliju ubacuje iRNK za još 16 dodatnih gena koji su važni za njegovu reprodukciju [4]. Od posebne važnosti je virusna RNK polimeraza RdRp, koja kopira virusni genom i proizvodi niz novih virusnih iRNK koje će biti zapakovane u nove virusne čestice.
Za našu analizu takođe su važni nsp3 i nsp5, na osnovu kojih se proizvode virusne proteaze. Naime, virus prevodi većinu svojih proteina u vidu dugačkog lanca, koji zatim mora da se pravilno iseče na sastavne delove (pojedinačne proteine koji dalje vrše svoje funkcije u replikaciji virusa). Pošto to nije normalna funkcija zdravih ljudskih ćelija, zaustaviti rad tih proteaza je dobra meta za razvoj novih lekova protiv SARS-CoV-2. Nekoliko takvih se nalazi u prvim fazama ispitivanja.
Ovde treba naglasiti i sledeće: mnogo straha postoji oko iRNK vakcina zato što one u ćelije unose iRNK za S protein. Virus takođe unosi tu istu iRNK u naše ćelije, zajedno sa još 19 drugih. Znači, virus po definiciji mora da izaziva bilo šta što vakcina izaziva, plus još 19 puta više drugih stvari. Da se vakcina “integriše u genom”, virus bi se takođe integrisao u genom. Da vakcina izaziva sterilitet, virus bi to još više radio. Na sreću, nijedna od tih priča nije istinita.
Možemo ubaciti i jednu zanimljivost o temi o kojoj se mnogo pisalo tokom 2020. godine. Hidroksihlorokin (HCQ) je lek koji ometa i usporava normalan razvoj endozoma. Ovo je smrtonosno za plazmodijume, parazitske organizme koji dovode do malarije, zbog čega se koristi kao lek protiv te bolesti. Takođe, smanjenje endozomalne funkcije ometa neke aspekte imunog sistema, zbog čega se HCQ takođe koristi i protiv nekih autoimunih bolesti. Kada se Covid-19 pojavio, HCQ je predložen kao lek na osnovu toga što može da ometa ili blokira indirektni način virusnog ulaska u ćelije. Drugim rečima, HCQ nikada nije mogao biti lek za Covid-19, samo je mogao da teorijski (donekle) pomogne protiv jednog virusnog mehanizma. Nažalost, u praksi se ispostavilo da HCQ ne pomaže, a po konačnim meta-analizama [35] ima i negativne efekte na bolesnike.
3. Mehanizmi bolesti
ACE2 je široko prisutan receptor [7], što omogućava virusu da inficira mnogo vrsta ćelija. Povrh toga, virus ima i delimičan afinitet za niz drugih receptora u organizmu [36]. Za razliku od gripa, koji inficira uglavnom imune ćelije i ćelije vazdušnih puteva, SARS-CoV2 ima sposobnost da inficira i ćelije srčanog mišića, krvnih sudova, neurone, pa čak i određene ćelije u testisima i žučnoj kesici.
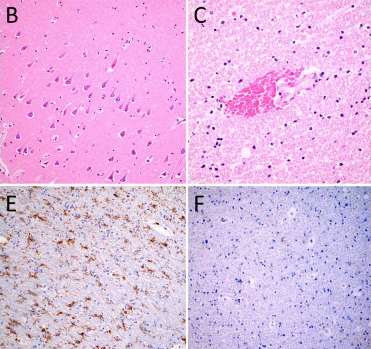
U obdukcijama preminulih od ovog virusa i u analizama i snimcima preživelih pacijenata vide se zajednički faktori koji su opisani u potkategorijama u daljem tekstu.
Koagulopatija i Tromboze
U zavisnosti od godina i drugih zdravstvenih faktora, između 29 i 69% pacijenata sa težim oblicima koronavirusne infekcije doživi značajne nivoe tromboze [8], mnogo više nego što je se može naći kod infekcija drugim virusima ili u standardnoj intenzivnoj nezi. Značajan nivo tromboza je primećen čak i kod asimptomatičnih pacijenata, dakle onih koji imaju najblaže oblike bolesti [9, 10, 11]. U zavisnosti od težine bolesti, nivoi d-dimera, jednog od osnovnih markera tromboze, povećavaju se od tri do 40 puta više od normale [12, 13].
Mikrotromboze blokiraju kapilare i manje krvne sudove, dovodeći do širokih, sistemskih oštećenja u organima. Ovo je, koliko je do sada poznato, glavni uzrok posledica koje virus često ostavlja kod ljudi koji ga preleže: mali rašireni infarkti u tkivima širom organizma [14, 15, 16]. Čak i tipični bolovi u mišićima su delimično rezultat takvog odumiranja tkiva [17].
Zbog mikrotromboza, veliki broj simptoma je neurološki. Pacijenti koji su preležali Covid-19 žale se na napade zamora, “maglu u mislima” i generalne kognitivne probleme. U velikim populacionim studijama, oko 33% pacijenata je imalo neurološke probleme nakon kovida, s tim da je kod 13% ovo bio prvi put da se pojavljuje takva dijagnoza [18]. Slične cifre se mogu naći i u manjim studijama u okviru pojedinačnih bolnica (na primer [19]). Većina pacijenata se nominalno oporavi nakon nekoliko meseci, što znači da se vrati u normalan život; ali nije jasno koliki su stvarni negativni efekti na kognitivne i druge mentalne sposobnosti. Za razjašnjavanje te tačke, potrebne su dugotrajne studije.
Međutim, moždano tkivo se ne obnavlja: kada neuroni odumru, oni se ne vraćaju. Analize tkiva od ljudi koji su umrli od kovida nam za sada pokazuju da ima značajnih razloga za oprez.
Infekcija pluća
Efekti infekcije koronavirusom u plućima su kompleksni. Veliki deo problema dolazi iz mikrotromboza koje začepe kapilare oko alveola i time sprečavaju normalnu razmenu gasova. Ali to nije jedini mehanizam: direktna infekcija virusom takođe ima svoje posledice u ovom tkivu.
Nedavno objavljena analiza pluća umrlih od kovida [21] (fantastično detaljna studija sa Harvarda, rezultat rada desetina stručnjaka sa veoma inovativnom metodologijom) pokazuje deo mehanizma infekcije. Naime, u plućnim alveolama (“mehurićima”), vazduh dolazi u kontakt sa alveolarnim ćelijama. Te ćelije se dele u dve vrste. Najviše spada u vrstu zvanu ATI (“alveolarne ćelije tipa I”), koje imaju vrlo tanku membranu kroz koju se iz vazduha prenosi kiseonik u krv . Manji deo spada u ATII kategoriju (“tip II”), ćelije koje luče sluz i odbrambene molekule preko unutrašnje površine pluća — time održavajući vlažnost površine, sprečavajući bakterijsku infekciju, i čuvajući integritet i zdravlje celog organa.
Pokazalo se da se ATI ćelije lako inficiraju SARS-CoV-2 virusom, zatim masovno odumiru. ATII ćelije i pozadinske intrapulmonarne ćelije zatim pokušaju da izmene svoj oblik i funkciju i da preuzmu mesto odumrlih ATI, ali ne uspevaju, već se “zaglave” na pola razvojnog puta i ostanu u polovičnom stanju. Rezultat je kolaps funkcije pluća i anoksija (nedostatak kiseonika).
U sličnoj studiji sa Kolumbija Univerziteta [22], nezavisno od prethodne, potvrđeno je da ovaj neuspeh u nadoknadi ATI ćelija leži iza velikog broja smrti. Studija je takođe pokazala da je glavni uzrok toga snažno zapaljenje, pre svega ono povezano sa signalima koje prenosi citokin interleukin 1ß.
Izrazito neobičan fenomen kod kovida je “tiha hipoksemija.” Naime, kod većine plućnih bolesti pad u nivou kiseonika u krvi proizvodi ozbiljne sistemske simptome, osećaj gušenja i nesvestice i ubrzano i plitko disanje. Kod kovida, međutim, mere količine udahnutog vazduha i elastičnosti pluća (eng. lung compliance) često su skoro normalne; ovo se manifestovalo čak i u mnogim slučajevima u kojima se jasno vidi zapaljenje pluća na snimcima [23]. Nivo kiseonika u krvi može da padne mnogo niže nego što je uobičajeno, bez odmah vidljivih efekata [24]. Ovo dovodi do opasnih situacija u kojima se pacijent oseća dobro dok ne ustane i ne počne da se kreće, nakon čega nizak nivo kiseonika dovede do nesvestice, naglog skoka u krvnom pritisku i drugih simptoma koji mogu biti akutno opasni po život (ovo su čuvene situacije tipa: čovek sedi i priča sa porodicom na telefonu, ustane da ode na toalet, kolabira i umre).
Dugoročno, oštećenja pluća (pre svega fibroza) jedan su od najčešćih problema kod ljudi koji preleže bolest. Fibroza je ireverzibilan gubitak plućne funkcije, direktna posledica kovida (ustanovljeno na osnovu autopsija, npr. [25], ali i snimaka kod ljudi koji su preležali bolest). Značajni nivoi fibroze i drugih poremećaja na subkliničkom nivou su nađeni i kod ljudi koji su preležali blag ili asimptomatičan kovid [26].
Šta ovo znači? “Subkliničke” povrede su one koje nemaju simptome i koje ljudi često ne primećuju. Takve trajne povrede mogu da ostanu nevidljive dugo nakon bolesti — ali onda postaju važne kod budućih oboljenja. Ljudi koji su preležali kovid, otud, imaju povećanu šansu komplikacija iz raznih razloga kasnije u životu. Lakše će se razboljevati, a u starosti će ih lakše do smrti dovoditi druge plućne bolesti.
Sistemski efekti
Široke tromboze vode do oštećenja u mnogim sistemima organa. Pored pluća, na najvećem udaru su srce, jetra, i bubrezi; mada se oštećenja mogu videti i na pankreasu, želucu i crevima.
U Ujedinjenom Kraljevstvu se vode dobre i detaljne statistike o zdravlju. Nacionalni centar za statistiku je uradio studiju [27] koja je uporedila oko 46,000 ljudi koji su preležali kovid sa slučajno izabranih izjednačenih 46,000 ljudi. “Izjednačenih” u ovom kontekstu znači da se za svaku osobu koja se oporavila od kovida slučajno iz javnosti bira otprilike jednaka osoba istih karakteristika (godište, medicinska istorija, itd.).
Efekti su zapanjujući. U periodu od šest meseci nakon oporavka, bilo je osam puta više smrti među onima koji su preležali kovid nego među onima koji nisu. Novih dijagnoza respiratornih problema (astme, hroničnog bronhitisa itsl.) bilo je dvadeset sedam puta više. Srčanih i moždanih udara je bilo pet puta više, novih dijagnoza dijabetesa skoro četiri puta. Novih dijagnoza hronične bolesti jetre i bubrega je bilo preko dvaput više. Ovo su samo nove dijagnoze, ne računajući ljude koji su već prethodno imali takve probleme. Slični efekti su primećeni i u mnogim drugim studijama [28, 29, 30].
Slika iz Ayoubkhani et al., BMJ, 372, n693, referenca [27]. Nove dijagnoze teških hroničnih poremećaja kod ljudi koji su preležali srednji ili težak oblik kovida (ljubičasto), u poređenju sa ljudima koji nikada nisu imali kovid (žuto). Redom s leva na desno: dijabetes, srčani i moždani udari (MACE), hronična bolest bubrega, hronična bolest jetre.
Mada mladi ljudi i deca imaju mnogo lakše kliničke slike, ni oni nisu potpuno pošteđeni. Kod većine su dugorični efekti relativno mali i retki, osim u slučajevima kada se javi sindrom multisistemskog inflamatornog sindroma (MIS-C). Ovo je sindrom koji se javi šest do deset nedelja nakon što se kovid preleži, uglavnom kod dece između 6 i 12 godina [31]. Većina dece koju ovo pogodi nema faktore rizika kao što je gojaznost.
Sindrom proizvodi sistemsko zapaljenje krvnih sudova i organa, što dovodi do prestanka funkcije bubrega, hipertrofije srca, a u težim slučajevima i encefalitisa (zapaljenja mozga). Uz intenzivnu negu, MIS-C ima smrtnost od oko 1%. U trenutku pisanja ovog teksta, u Americi je prijavljeno preko 4000 slučajeva hospitalizacije zbog MIS-C, od čega je 36 dece preminulo.
Imuni efekti i “citokinske oluje”
Naš imuni sistem, naravno, ne sedi mirno dok se sve ovo događa. Kasniji deo odgovora na virus spada u standardnu imunologiju koju nećemo obrađivati u okviru ovog teksta. Ali početak infekcije je važan za tok bolesti, i bitno je obraditi makar kratku verziju.
Početna infekcija dovodi do aktivacije takozvanih TLR (eng. toll-like receptor) koji detektuju prisustvo raznih patogena; a povreda i smrt inficiranih ćelija oslobađa niz signala koji takođe dovode do aktivacije imunih ćelija. Imuni sistem zatim počinje borbu na raznim frontovima: podiže temperaturu, počinje da uništava inficirane ćelije, i pokušava da proizvede antitela koja prepoznaju napadača [37, 38].
Pošto se već godinu dana govori o “citokinskim olujama,” sledeća tvrdnja može zvučati neobično: zapravo nije jasno da li je taj fenomen citokinske oluje tačno objašnjenje za proces koji je odgovoran za mnoge komplikacije kod kovida. Naime, kod pacijenata je svakako primećeno povećanje nivoa citokina i preterana aktivacija destruktivnih imunih ćelija (neutrofila, NK T ćelija, makrofaga…), i sasvim je jasno da određene imunosupresivne terapije mogu da pomognu (kortikosteroid deksametazon je jedan od osnovnih lekova u terapiji težih oblika kovida, a često se koriste i biološki imunosupresivni lekovi).
Ali “citokinska oluja” je fenomen koji ima vrlo nejasnu definiciju i koji se prethodno koristio kod znatno drugačijih situacija kao što je nagla super-aktivacija imuniteta u slučajevima sepse (infekcije krvi) ili teških respiratornih infekcija izazvanih drugim virusima (ARDS). Kod kovida je apsolutno prisutan poremećaj zapaljenja, ali nivoi citokina su mnogo niži nego kod drugih citokinskih oluja, dok su njihove proporcije drugačije [39, 40, 41]. Otud, koncenzus je da se ovaj termin “oluje” polako napušta.
Umesto citokinske oluje, sve više podataka podržava drugačiju sliku, vezanu za sam ACE2 receptor [32, 42, 43]. Ova slika je prilično kompleksna, ali takođe i kritično važna i vrlo zanimljiva.
Kako koronavirus tako vara imuni sistem?
Da bi smo razumeli proces, prvo moramo da pogledamo kratak (i vrlo uprošćen) pregled takozvanog angiotenzin sistema. U našem krvotoku se stalno proizvodi i cirkuliše antiogenzin I (Ang I). Takođe postoji enzim koji se zove ACE, doslovno “angiotenzin-konvertujući enzim,” koji seče Ang I i time proizvodi Ang II.
Ang II zatim aktivira svoje receptore na ćelijama (AT1R i AT2R), što proizvodi niz efekata: povećanje lokalnog krvnog pritiska, sužavanje krvnih sudova, i povećano lokalno zapaljenje usled aktivacije određenih grana imunog sistema. Kočnica za ovo je ACE2, protein o kome smo toliko govorili u prethodnom tekstu. ACE2 konvertuje Ang II u fragment zvani Ang (1–7), koji ima obrnuti efekt: proširuje krvne sudove i smanjuje lokalni krvni pritisak.
Balansiranje aktivnosti ACE i ACE2 u okviru naših tkiva kontroliše krvni pritisak i aktivnost imunog sistema na lokalnom nivou. Ovo je izuzetno bitno za finu kontrolu: bubrezi ili srce mogu da promene krvni pritisak u celom organizmu istovremeno — ali ako posečete prst, i ako je potrebno promeniti situaciju samo u okolini te posekotine (da se izazove naticanje i aktivacija imunih ćelija baš na tom mestu), tu u igru ulazi ovaj sistem.
Ali — bitno za našu dalju raspravu — iako je ovaj ACE/ACE2 balans najbitniji lokalno, on može imati i efekte na nivou celog tela. ACE inhibitori, lekovi koji zaustavljaju konverziju Ang I u Ang II, koriste se protiv visokog pritiska veoma efikasno, jer smanjuju ACE aktivnost (i samim tim nivo Ang II) u celom organizmu istovremeno.
Šta se sad događa tokom kovid infekcije? Lokalno, u delovima pluća, krvotoka, i drugih organa u kojima virus napada ćelije, vezivanje virusa i S proteina za mnoge ACE2 receptore dovodi do njihove internalizacije (kroz proces formiranja endozoma koji smo već opisali). Štaviše, ćelija ovo vezivanje doživljava kao preteranu aktivaciju tih receptora, na šta reaguje homeostatski (pokušava signal održi u okvirima normale) i zato smanjuje proizvodnju novih ACE2 proteina. Ovim se ukupna aktivnost ACE2 na samom mestu infekcije takođe drastično smanjuje.
Lokalno smanjenje ACE2 aktivnosti dovodi do povećanja nivoa Ang II, koji izaziva ogromno povećanje krvnog pritiska i zapaljenja (hiperinflamacija) u tom lokalnom tkivu. Ovo je najpogubnije u plućima, gde nežne ATI ćelije kroz koje se prenosi kiseonik, masovno odumiru — ne samo pred virusom, već i pod napadom imunog sistema. Lokalno suženje krvnih sudova takođe otežava situaciju sa mikrotrombozama, koje u toj situaciji lakše začepe te sužene kapilare.
Ali to nije kraj priče! Ang II i drugi molekuli koji se šire iz tog lokalnog tkiva kroz ostatak organizma daju signal ćelijama u drugim delovima tela, koji kaže: “imamo suviše ACE, nedovoljno ACE2, hitno povećaj ACE2 aktivnost!” I onda druge ćelije u telu počnu da proizvode ogromne količine ACE2… što virusu daje ogroman broj receptora za koje može da se veže i da prenese infekciju dalje kroz organizam, ponavljajući ciklus. I ne samo to, već povećana aktivnosti ACE2 u ostatku organizma obara aktivnost i efektivnost imunog sistema, što dodatno pospešuje dalju infektivnost virusa — dok se proces ne ponovi opet!
Na ovaj način virus uspeva da postigne trostruki udarac. Prvo, koristi ACE2 da uđe u ćeliju i da je inficira. Drugo, time dovede do preterane produkcije ACE2 receptora na drugim ćelijama u delovima organizma koji nisu još inficirani, što otvara vrata za dalje širenje infekcije. I treće, on time ometa imunu aktivnost sa kojom će se njegovi potomci sretati. Vrlo elegantno, i vrlo ubitačno.
Efekti samog “šiljka” i implikacije za vakcinaciju
Ovaj mehanizam dejstva doveo je do brige da sam “šiljak,” S protein, može da proizvede loše efekte po pluća i krvotok, ako je prisutan u dovoljnoj količini.
Jedna mala studija je pokazala da se kroz “šiljak” zaista mogu proizvesti loše posledice, mada na dosta težak način: naučnici su hrčcima i miševima dali direktno u pluća sprej pseudovirusa sa S proteinom ― visoka doza koja je dolazila pravo u kontakt sa epitelijumom. Iako pseudovirus ne može da zarazi ćelije niti da se u njima replikuje, direktan spoljni kontakt sa S proteinom je bio dovoljan da proizvede značajne probleme i pokrene procese zapaljenja [44].
Autori te studije su zaključili da su antitela protiv S proteina otud posebno važna, jer vakcinacija kroz njih štiti dvostruko, i od virusa i od direktnih oštećenja u plućima kakva može da nanese direktan kontakt sa udahnutim virusom. Ali šta sa S proteinom iz same vakcine, da li tu ima razloga za brigu?
Infekcija virusom dovodi do proizvodnje S proteina širom organizma i do prisustva virusnih čestica (koje su prekrivene ovim proteinom) u krvi, limfi, i u sluzi unutar pluća. To je značajno drugačija situacija u poređenju sa iRNK ili adenovirusnim vakcinama, koje ne sadrže S-protein u sebi, već samo nose informacije koje dovode do lokalne proizvodnje na površini ćelija na mestu uboda (dakle, u mišiću ramena), u bliskim limfnim čvorovima, i u jetri [45, 46]. Nežne epitelijalne ćelije time izbegavaju direktan kontakt sa šiljkom.
Da bi se slobodan S protein izmerio u krvi nakon vakcinacije, potrebno je koristiti najosetljivije tehnike koje posedujemo, one koje mogu da detektuju pojedinačne molekule. Na osnovu takvih ultrapreciznih merenja, ustanovljeno je da se S protein nakon vakcine u cirkulaciji nalazi u količinama od nekoliko desetina pikograma po mililitru [50].
Podelite jedan gram na hiljadu delova i dobićete miligram. Podelite miligram na milion delova i dobićete nanogram. Podelite taj nanogram na hiljadu delova i tu ćete konačno stići do pikograma. Ovo je toliko mala količina da predstavlja više simbol naše moderne tehnologije za detekciju molekula nego što oslikava nekakvu medicinski relevantnu činjenicu.
I ta, jedva merljiva količina, može da se detektuje samo nekoliko dana posle prve doze vakcine; nakon toga, naše telo proizvede antitela koja dovode do potpunog uništenja šiljka i on više ne može da se detektuje čak ni u tim mikroskopskim količinama. Ni druga doza vakcine ne uspeva da proizvede dovoljno za merenje — naše telo novi S protein prosto suviše brzo prepozna i eliminiše, i ni najsavremenije tehnike ne mogu da ga nađu uopšte [50].
Dodatni razlog za smirenost dolazi iz preliminarnih rezultata treće faze studija Novavax vakcine [51]. Dotična još nije došla na tržište, tražiće potvrdu tek u narednim mesecima i ciljana je uglavnom za države u koje još nisu stigle značajne količine drugih vakcina. Novavax je rekombinantna vakcina, starija tehnologija u kojoj se doza veštački prozvedenog S proteina daje direktno u mišić zajedno sa specijalnim ađuvantima (pojačivačima imunog odgovora). Znači, ako S protein iz vakcine može da nešto loše uradi, to bi moralo da se vidi u ovoj studiji.
Zbog brige oko mogućih efekata, regulatorne službe su posebno pažljivo promatrale nuspojave u okviru trideset hiljada dobrovoljaca koji su učestvovali u trećoj fazi Novavax studija. I našli su da broj značajnih nuspojava nije značajno različit između ljudi koji su primili pravu vakcinu i onih koji su primili placebo, što pokazuje da “šiljak” u okviru vakcine nije ozbiljna pretnja sam po sebi. Za goreopisane efekte, potreban je širi, dugotrajniji, i direktniji kontakt između epitelijuma i “šiljka.”
Zaključak — epidemija još nije gotova, imamo mesta za obazriv optimizam, ali lenjost i dezinformacije će nas skupo koštati
Imajte u vidu da je ovo samo kratak opis jednog malecnog delića informacija koje danas imamo o SARS-CoV-2 virusu. Ako želite još više informacija kako virus izgleda i kako deluje na naš organizam, preporučujem vam da pogledate reference, pre svega [43, 47, i 48].
U trenutku pisanja ovog teksta, novine su pune loših vesti, međutim imamo razloga za obazrivi optimizam. Na primer, u UK se pojavljuju znaci novog talasa, izazvanog pridošlim Indijskim B.1.617 sojem. Ipak, vakcine se dobro drže: 88% infekcija i preko 99% hospitalizacija se dešavaju kod nevakcinisanih. Antitela koja proizvode vakcine, pogotovo iRNK, i dalje efektivno neutrališu virus [49].
Značajno manje efikasna Sinofarm vakcina se takođe relativno dobro drži. U Bahreinu, gde je njom vakcinisano 40% stanovništva, 90% novih slučajeva je među nevakcinisanima. Slične informacije dolaze iz Sejšela i UAE, sa dodatnim ciframa koje pokazuju da je 98% hospitalizacija među ljudima koji su ili nevakcinisani ili primili samo jednu dozu.
Iako ovo nisu savršeni podaci, generalna slika pokazuje da sa visokim nivoom vakcinacije možemo završiti ovu priču, čak i kada vakcine nisu savršene.
(Ovi podaci takođe snažno podržavaju stav da treba početi sa davanjem treće doze vakcine osobama koje su primile Sinofarm, pogotovo starijim ljudima koji imaju mali ili nikakav imuni odgovor. U idealnom slučaju, kao što su već počeli da rade UAE i Bahrein, ta treća doza bi bila neka od iRNK vakcina, Pfizer ili Moderna.)
“Muva u oku” ovog optimizma je u tome što visok nivo vakcinacije trenutno izgleda nedostižno. Srbija je, recimo, došla do oko 33% vakcinisanog stanovništva, i vrlo sporo se kreće unapred. Epidemija je utihnula, i za mnoge ovo izgleda kao da je priča gotova. U stvarnosti, ono što nam sledi je debeli “rep” epidemije tokom koga ćemo se boriti sa novim žarištima i kraćim talasima koji će, iznova i iznova, izbijati u nevakcinisanoj populaciji. U tim žarištima, virus će nastaviti da mutira, što dovodi do mogućnosti nastanka novih sojeva koji će nastaviti da korak po korak umanjuju zaštitu koju pružaju vakcine.
Lenjost i dezinformacije će nas skupo koštati, i kao pojedince, i kao narod, i kao civilizaciju.
Vredi se ovde podsetiti nečega što već mesecima govorimo: virus je sada endemski, svi će ga dobiti pre ili kasnije. Lepo bi bilo da se mogu zaobići svi rizici i da ne mora ni virus ni vakcina, ali to nije opcija. Svi ćemo postati imuni na virus, pre ili kasnije. Jedino pitanje je kako ćemo do tog imuniteta stići: vakcinama ili kroz infekciju virusom — i kroz lično proživljavanje procesa bolesti koji su navedeni u gornjem tekstu…
Reference:
[1] Klein, S., Cortese, M., Winter, S.L. et al. (2020). SARS-CoV-2 structure and replication characterized by in situ cryo-electron tomography. Nat Commun 11, 5885 https://doi.org/10.1038/s41467-020-19619-7
[2] Wang, M. Y., Zhao, R., Gao, L. J., Gao, X. F., Wang, D. P., Cao, J. M. (2020). SARS-CoV-2: Structure, Biology, and Structure-Based Therapeutics Development. Frontiers in cellular and infection microbiology, 10, 587269. https://doi.org/10.3389/fcimb.2020.587269
[3] Papageorgiou, A. C., Mohsin, I. (2020). The SARS-CoV-2 Spike Glycoprotein as a Drug and Vaccine Target: Structural Insights into Its Complexes with ACE2 and Antibodies. Cells, 9(11), 2343. https://doi.org/10.3390/cells9112343
[4] Kadam, S. B., Sukhramani, G. S., Bishnoi, P., Pable, A. A., Barvkar, V. T. (2021). SARS-CoV-2, the pandemic coronavirus: Molecular and structural insights. Journal of basic microbiology, 61(3), 180–202. https://doi.org/10.1002/jobm.202000537
[5] Ghafouri-Fard, S., Noroozi, R., Omrani, M. D., Branicki, W., Pośpiech, E., Sayad, A., Pyrc, K., Łabaj, P. P., Vafaee, R., Taheri, M., & Sanak, M. (2020). Angiotensin converting enzyme: A review on expression profile and its association with human disorders with special focus on SARS-CoV-2 infection. Vascular pharmacology, 130, 106680. https://doi.org/10.1016/j.vph.2020.106680
[6] Shang, J., Wan, Y., Luo, C., Ye, G., Geng, Q., Auerbach, A., & Li, F. (2020). Cell entry mechanisms of SARS-CoV-2. Proceedings of the National Academy of Sciences of the United States of America, 117(21), 11727–11734. https://doi.org/10.1073/pnas.2003138117
[7] Hikmet, F., Méar, L., Edvinsson, Å., Micke, P., Uhlén, M., & Lindskog, C. (2020). The protein expression profile of ACE2 in human tissues. Molecular systems biology, 16(7), e9610. https://doi.org/10.15252/msb.20209610
[8] Obi, A. T., Barnes, G. D., Napolitano, L. M., Henke, P. K., & Wakefield, T. W. (2021). Venous thrombosis epidemiology, pathophysiology, and anticoagulant therapies and trials in severe acute respiratory syndrome coronavirus 2 infection. Journal of vascular surgery. Venous and lymphatic disorders, 9(1), 23–35. https://doi.org/10.1016/j.jvsv.2020.08.030
[9] Tu, T. M., Seet, C., Koh, J. S., Tham, C. H., Chiew, H. J., De Leon, J. A., Chua, C., Hui, A. C., Tan, S., Vasoo, S. S., Tan, B. Y., Umapathi, N. T., Tambyah, P. A., & Yeo, L. (2021). Acute Ischemic Stroke During the Convalescent Phase of Asymptomatic COVID-2019 Infection in Men. JAMA network open, 4(4), e217498. https://doi.org/10.1001/jamanetworkopen.2021.7498
[10] Fan, B. E., Umapathi, T., Chua, K., Chia, Y. W., Wong, S. W., Tan, G., Chandrasekar, S., Lum, Y. H., Vasoo, S., & Dalan, R. (2021). Delayed catastrophic thrombotic events in young and asymptomatic post-COVID-19 patients. Journal of thrombosis and thrombolysis, 51(4), 971–977. https://doi.org/10.1007/s11239-020-02332-z
[11] Laouan Brem, F., Rasras, H., El Ouafi, N., & Bazid, Z. (2021). Bilateral Pulmonary Embolism in Patients Recovered From Asymptomatic COVID-19 Infection. Cureus, 13(3), e13848. https://doi.org/10.7759/cureus.13848
[12] Guan, W. J., Ni, Z. Y., Hu, Y., Liang, W. H., Ou, C. Q., He, J. X., Liu, L., Shan, H., Lei, C. L., Hui, D., Du, B., Li, L. J., Zeng, G., Yuen, K. Y., Chen, R. C., Tang, C. L., Wang, T., Chen, P. Y., Xiang, J., Li, S. Y., … China Medical Treatment Expert Group for Covid-19 (2020). Clinical Characteristics of Coronavirus Disease 2019 in China. The New England journal of medicine, 382(18), 1708–1720. https://doi.org/10.1056/NEJMoa2002032
[13] Thachil, J., Tang, N., Gando, S., Falanga, A., Cattaneo, M., Levi, M., Clark, C., & Iba, T. (2020). ISTH interim guidance on recognition and management of coagulopathy in COVID-19. Journal of thrombosis and haemostasis : JTH, 18(5), 1023–1026. https://doi.org/10.1111/jth.14810
[14] Sadegh Beigee, F., Pourabdollah Toutkaboni, M., Khalili, N., Nadji, S. A., Dorudinia, A., Rezaei, M., Askari, E., Farzanegan, B., Marjani, M., & Rafiezadeh, A. (2020). Diffuse alveolar damage and thrombotic microangiopathy are the main histopathological findings in lung tissue biopsy samples of COVID-19 patients. Pathology, research and practice, 216(10), 153228. https://doi.org/10.1016/j.prp.2020.153228
[15] Chen, W., & Pan, J. Y. (2021). Anatomical and Pathological Observation and Analysis of SARS and COVID-19: Microthrombosis Is the Main Cause of Death. Biological procedures online, 23(1), 4. https://doi.org/10.1186/s12575-021-00142-y
[16] Pellegrini, D., Kawakami, R., Guagliumi, G., Sakamoto, A., Kawai, K., Gianatti, A., Nasr, A., Kutys, R., Guo, L., Cornelissen, A., Faggi, L., Mori, M., Sato, Y., Pescetelli, I., Brivio, M., Romero, M., Virmani, R., & Finn, A. V. (2021). Microthrombi as a Major Cause of Cardiac Injury in COVID-19: A Pathologic Study. Circulation, 143(10), 1031–1042. https://doi.org/10.1161/CIRCULATIONAHA.120.051828
[17] Maiese, A., Manetti, A. C., La Russa, R., Di Paolo, M., Turillazzi, E., Frati, P., & Fineschi, V. (2020). Autopsy findings in COVID-19-related deaths: a literature review. Forensic science, medicine, and pathology, 1–18. https://doi.org/10.1007/s12024-020-00310-8
[18] Taquet, M., Geddes, J. R., Husain, M., Luciano, S., & Harrison, P. J. (2021). 6-month neurological and psychiatric outcomes in 236 379 survivors of COVID-19: a retrospective cohort study using electronic health records. The lancet. Psychiatry, 8(5), 416–427. https://doi.org/10.1016/S2215-0366(21)00084-5
[19] Pezzini, A., & Padovani, A. (2020). Lifting the mask on neurological manifestations of COVID-19. Nature reviews. Neurology, 16(11), 636–644. https://doi.org/10.1038/s41582-020-0398-3
[20] Mukerji, S. S., & Solomon, I. H. (2021). What can we learn from brain autopsies in COVID-19?. Neuroscience letters, 742, 135528. https://doi.org/10.1016/j.neulet.2020.135528
[21] Delorey, T. M., Ziegler, C., Heimberg, G., Normand, R., Yang, Y., Segerstolpe, Å., Abbondanza, D., Fleming, S. J., Subramanian, A., Montoro, D. T., Jagadeesh, K. A., Dey, K. K., Sen, P., Slyper, M., Pita-Juárez, Y. H., Phillips, D., Biermann, J., Bloom-Ackermann, Z., Barkas, N., Ganna, A., … Regev, A. (2021). COVID-19 tissue atlases reveal SARS-CoV-2 pathology and cellular targets. Nature, 10.1038/s41586–021–03570–8. https://doi.org/10.1038/s41586-021-03570-8
[22] Melms, J. C., Biermann, J., Huang, H., Wang, Y., Nair, A., Tagore, S., Katsyv, I., Rendeiro, A. F., Amin, A. D., Schapiro, D., Frangieh, C. J., Luoma, A. M., Filliol, A., Fang, Y., Ravichandran, H., Clausi, M. G., Alba, G. A., Rogava, M., Chen, S. W., Ho, P., … Izar, B. (2021). A molecular single-cell lung atlas of lethal COVID-19. Nature, 10.1038/s41586–021–03569–1. https://doi.org/10.1038/s41586-021-03569-1
[23] Sorbello, M., El-Boghdadly, K., Di Giacinto, I., Cataldo, R., Esposito, C., Falcetta, S., Merli, G., Cortese, G., Corso, R. M., Bressan, F., Pintaudi, S., Greif, R., Donati, A., Petrini, F., & Società Italiana di Anestesia Analgesia Rianimazione e Terapia Intensiva (SIAARTI) Airway Research Group, and The European Airway Management Society (2020). The Italian coronavirus disease 2019 outbreak: recommendations from clinical practice. Anaesthesia, 75(6), 724–732. https://doi.org/10.1111/anae.15049
[24] Dhont, S., Derom, E., Van Braeckel, E., Depuydt, P., & Lambrecht, B. N. (2020). The pathophysiology of ‘happy’ hypoxemia in COVID-19. Respiratory research, 21(1), 198. https://doi.org/10.1186/s12931-020-01462-5
[25] Edler, C., Schröder, A. S., Aepfelbacher, M., Fitzek, A., Heinemann, A., Heinrich, F., Klein, A., Langenwalder, F., Lütgehetmann, M., Meißner, K., Püschel, K., Schädler, J., Steurer, S., Mushumba, H., & Sperhake, J. P. (2020). Dying with SARS-CoV-2 infection-an autopsy study of the first consecutive 80 cases in Hamburg, Germany. International journal of legal medicine, 134(4), 1275–1284. https://doi.org/10.1007/s00414-020-02317-w
[26] Oran, D. P., & Topol, E. J. (2020). Prevalence of Asymptomatic SARS-CoV-2 Infection: A Narrative Review. Annals of internal medicine, 173(5), 362–367. https://doi.org/10.7326/M20-3012
[27] Ayoubkhani, D., Khunti, K., Nafilyan, V., Maddox, T., Humberstone, B., Diamond, I., & Banerjee, A. (2021). Post-covid syndrome in individuals admitted to hospital with covid-19: retrospective cohort study. BMJ (Clinical research ed.), 372, n693. https://doi.org/10.1136/bmj.n693
[28] Gupta, S., & Mitra, A. (2021). Challenge of the post-COVID era: management of cardiovascular complications in asymptomatic carriers of SARS-CoV-2. Heart failure reviews, 1–11. https://doi.org/10.1007/s10741-021-10076-y
[29] Nugent, J., Aklilu, A., Yamamoto, Y., Simonov, M., Li, F., Biswas, A., Ghazi, L., Greenberg, J., Mansour, S., Moledina, D., & Wilson, F. P. (2021). Assessment of Acute Kidney Injury and Longitudinal Kidney Function After Hospital Discharge Among Patients With and Without COVID-19. JAMA network open, 4(3), e211095. https://doi.org/10.1001/jamanetworkopen.2021.1095
[30] Su, H., Yang, M., Wan, C., Yi, L. X., Tang, F., Zhu, H. Y., Yi, F., Yang, H. C., Fogo, A. B., Nie, X., & Zhang, C. (2020). Renal histopathological analysis of 26 postmortem findings of patients with COVID-19 in China. Kidney International, 98(1), 219–227. https://doi.org/10.1016/j.kint.2020.04.003
[31] Belay, E. D., Abrams, J., Oster, M. E., Giovanni, J., Pierce, T., Meng, L., Prezzato, E., Balachandran, N., Openshaw, J. J., Rosen, H. E., Kim, M., Richardson, G., Hand, J., Tobin-D’Angelo, M., Wilson, S., Hartley, A., Jones, C., Kolsin, J., Mohamed, H., Colles, Z., … Godfred-Cato, S. (2021). Trends in Geographic and Temporal Distribution of US Children With Multisystem Inflammatory Syndrome During the COVID-19 Pandemic. JAMA pediatrics, e210630. https://doi.org/10.1001/jamapediatrics.2021.0630
[32] Kuba, K., Imai, Y., Rao, S., Gao, H., Guo, F., Guan, B., Huan, Y., Yang, P., Zhang, Y., Deng, W., Bao, L., Zhang, B., Liu, G., Wang, Z., Chappell, M., Liu, Y., Zheng, D., Leibbrandt, A., Wada, T., Slutsky, A. S., … Penninger, J. M. (2005). A crucial role of angiotensin converting enzyme 2 (ACE2) in SARS coronavirus-induced lung injury. Nature medicine, 11(8), 875–879. https://doi.org/10.1038/nm1267
[33] Kam, Y. W., Okumura, Y., Kido, H., Ng, L. F., Bruzzone, R., & Altmeyer, R. (2009). Cleavage of the SARS coronavirus spike glycoprotein by airway proteases enhances virus entry into human bronchial epithelial cells in vitro. PloS one, 4(11), e7870. https://doi.org/10.1371/journal.pone.0007870
[34] Murgolo, N., Therien, A. G., Howell, B., Klein, D., Koeplinger, K., Lieberman, L. A., Adam, G. C., Flynn, J., McKenna, P., Swaminathan, G., Hazuda, D. J., & Olsen, D. B. (2021). SARS-CoV-2 tropism, entry, replication, and propagation: Considerations for drug discovery and development. PLoS pathogens, 17(2), e1009225. https://doi.org/10.1371/journal.ppat.1009225
[35] Singh B, Ryan H, Kredo T, Chaplin M, Fletcher T. (2021) Chloroquine or hydroxychloroquine for prevention and treatment of COVID‐19. Cochrane Database of Systematic Reviews 2021, Issue 2. Art. No.: CD013587. https://doi.org/10.1002/14651858.CD013587.pub2
[36] Brockbank SMV, Soden J, Faba-Rodriguez R, Rosenbrier Ribeiro L, Geh C, Thomas H, Delight J, Coverley L, Abbott WM, Freeth J. (2021, preprint). SARS-CoV-2 comprehensive receptor profiling: mechanistic insight to drive new therapeutic strategies. bioRxiv 2021.03.11.434937; https://doi.org/10.1101/2021.03.11.434937
[37] Totura, A. L., Whitmore, A., Agnihothram, S., Schäfer, A., Katze, M. G., Heise, M. T., & Baric, R. S. (2015). Toll-Like Receptor 3 Signaling via TRIF Contributes to a Protective Innate Immune Response to Severe Acute Respiratory Syndrome Coronavirus Infection. mBio, 6(3), e00638–15. https://doi.org/10.1128/mBio.00638-15
[38] Chen, G., Wu, D., Guo, W., Cao, Y., Huang, D., Wang, H., Wang, T., Zhang, X., Chen, H., Yu, H., Zhang, X., Zhang, M., Wu, S., Song, J., Chen, T., Han, M., Li, S., Luo, X., Zhao, J., & Ning, Q. (2020). Clinical and immunological features of severe and moderate coronavirus disease 2019. The Journal of clinical investigation, 130(5), 2620–2629. https://doi.org/10.1172/JCI137244
[39] Monneret, G., Benlyamani, I., Gossez, M., Bermejo-Martin, J. F., Martín-Fernandez, M., Sesques, P., Wallet, F., & Venet, F. (2021). COVID-19: What type of cytokine storm are we dealing with?. Journal of medical virology, 93(1), 197–198. https://doi.org/10.1002/jmv.26317
[40] Sinha, P., Matthay, M. A., & Calfee, C. S. (2020). Is a “Cytokine Storm” Relevant to COVID-19?. JAMA internal medicine, 180(9), 1152–1154. https://doi.org/10.1001/jamainternmed.2020.3313
[41] Leisman, D. E., Ronner, L., Pinotti, R., Taylor, M. D., Sinha, P., Calfee, C. S., Hirayama, A. V., Mastroiani, F., Turtle, C. J., Harhay, M. O., Legrand, M., & Deutschman, C. S. (2020). Cytokine elevation in severe and critical COVID-19: a rapid systematic review, meta-analysis, and comparison with other inflammatory syndromes. The Lancet. Respiratory medicine, 8(12), 1233–1244. https://doi.org/10.1016/S2213-2600(20)30404-5
[42] Mehrabadi, M. E., Hemmati, R., Tashakor, A., Homaei, A., Yousefzadeh, M., Hemati, K., & Hosseinkhani, S. (2021). Induced dysregulation of ACE2 by SARS-CoV-2 plays a key role in COVID-19 severity. Biomedicine & pharmacotherapy = Biomedecine & pharmacotherapie, 137, 111363. https://doi.org/10.1016/j.biopha.2021.111363
[43] Trougakos, I. P., Stamatelopoulos, K., Terpos, E., Tsitsilonis, O. E., Aivalioti, E., Paraskevis, D., Kastritis, E., Pavlakis, G. N., & Dimopoulos, M. A. (2021). Insights to SARS-CoV-2 life cycle, pathophysiology, and rationalized treatments that target COVID-19 clinical complications. Journal of biomedical science, 28(1), 9. https://doi.org/10.1186/s12929-020-00703-5
[44] Lei, Y., Zhang, J., Schiavon, C. R., He, M., Chen, L., Shen, H., Zhang, Y., Yin, Q., Cho, Y., Andrade, L., Shadel, G. S., Hepokoski, M., Lei, T., Wang, H., Zhang, J., Yuan, J. X., Malhotra, A., Manor, U., Wang, S., Yuan, Z. Y., … Shyy, J. Y. (2020). SARS-CoV-2 Spike Protein Impairs Endothelial Function via Downregulation of ACE2. (2021) Circulation Research. 128(9), 1239. https://doi.org/10.1101/2020.12.04.409144
[45] EMA izveštaj o iRNK vakcinama; relevantne informacije počinju na stranici 46. https://www.ema.europa.eu/en/documents/assessment-report/comirnaty-epar-public-assessment-report_en.pdf
[46] Sheets, R. L., Stein, J., Bailer, R. T., Koup, R. A., Andrews, C., Nason, M., He, B., Koo, E., Trotter, H., Duffy, C., Manetz, T. S., & Gomez, P. (2008). Biodistribution and toxicological safety of adenovirus type 5 and type 35 vectored vaccines against human immunodeficiency virus-1 (HIV-1), Ebola, or Marburg are similar despite differing adenovirus serotype vector, manufacturer’s construct, or gene inserts. Journal of immunotoxicology, 5(3), 315–335. https://doi.org/10.1080/15376510802312464
[47] Osuchowski, M. F., Winkler, M. S., Skirecki, T., Cajander, S., Shankar-Hari, M., Lachmann, G., Monneret, G., Venet, F., Bauer, M., Brunkhorst, F. M., Weis, S., Garcia-Salido, A., Kox, M., Cavaillon, J. M., Uhle, F., Weigand, M. A., Flohé, S. B., Wiersinga, W. J., Almansa, R., de la Fuente, A., … Rubio, I. (2021). The COVID-19 puzzle: deciphering pathophysiology and phenotypes of a new disease entity. The Lancet. Respiratory medicine, S2213–2600(21)00218–6. https://doi.org/10.1016/S2213-2600(21)00218-6
[48] Bryce, C., Grimes, Z., Pujadas, E., Ahuja, S., Beasley, M. B., Albrecht, R., Hernandez, T., Stock, A., Zhao, Z., AlRasheed, M. R., Chen, J., Li, L., Wang, D., Corben, A., Haines, G. K., 3rd, Westra, W. H., Umphlett, M., Gordon, R. E., Reidy, J., Petersen, B., … Fowkes, M. E. (2021). Pathophysiology of SARS-CoV-2: the Mount Sinai COVID-19 autopsy experience. Modern pathology : an official journal of the United States and Canadian Academy of Pathology, Inc, 1–12. https://doi.org/10.1038/s41379-021-00793-y
[49] Liu, J., Liu, Y., Xia, H., Zou, J., Weaver, S. C., Swanson, K. A., Cai, H., Cutler, M., Cooper, D., Muik, A., Jansen, K. U., Sahin, U., Xie, X., Dormitzer, P. R., & Shi, P. Y. (2021). BNT162b2-elicited neutralization of B.1.617 and other SARS-CoV-2 variants. Nature, 10.1038/s41586–021–03693-y. https://doi.org/10.1038/s41586-021-03693-y
[50] Ogata, A. F., Cheng, C. A., Desjardins, M., Senussi, Y., Sherman, A. C., Powell, M., Novack, L., Von, S., Li, X., Baden, L. R., & Walt, D. R. (2021). Circulating SARS-CoV-2 Vaccine Antigen Detected in the Plasma of mRNA-1273 Vaccine Recipients. Clinical infectious diseases: an official publication of the Infectious Diseases Society of America, ciab465. https://doi.org/10.1093/cid/ciab465
